TEL: +86-571-89712897, 88361217, 81389219, 86608701        Email:admin@safecare.com.cn
简体中文简体中文
Home » News » Company News » Congratulations to Safecare Biotech for Geting CE Approval of Monkeypox

Congratulations to Safecare Biotech for Geting CE Approval of Monkeypox

Views: 51     Author: Site Editor     Publish Time: 2022-05-26      Origin: Site

facebook sharing button
twitter sharing button
line sharing button
wechat sharing button
linkedin sharing button
pinterest sharing button
whatsapp sharing button
sharethis sharing button

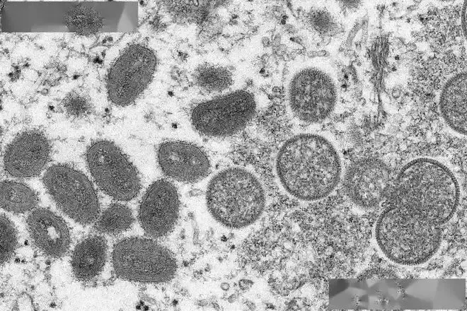
The monkeypox virus outbreaks in many on-endemic countries.

1653554508(1).jpg

And more cases will likely be reported in the coming days as surveillance expands, the global health agency said.Monkeypox is spread through close contact. It usually begins with flu-like symptoms and then progresses to body rashes.It can result in death for 1 in 10 people who contract the disease based on observations in Africa, according to the CDC.

In order to combat this virus and help human health all over the world. Safecare Biotech acts quickly and develops Monkeypox Virus Antibody Rapid Test,Monkeypox Virus Antigen Rapid Test and Monkeypox Virus Nucleic Acid Detection Kit (Fluorescent RT-PCR Probe Method). And now these tests are CE approved.

We are always keep developing new products to help and improve human life and health.

1111.jpg

Quick Links

Product Category

Contact Us

Address : Bldg 2, No 2628 Yuhang

tang RD,Hangzhou, 311121 China

Tel: (+86) 571 86608701, 81389219, 
89712897, 88361217
Email: admin@safecare.com.cn
Send Us A Message
 Copyrights 2022 Safecare Biotech(Hangzhou)Co.,Ltd